Tu ayuda reconstruye vidas

Apoya el programa de pared abdominal de la Fundación Reina isabel IPS

¿Por qué donar?

Estas cirugías son indispensables para tratar eventraciones, hernias compleas, defectos postquirúrgicos y diastasis severas.

Incluyen la evaluación por un equipo de cirujanos expertos, internistas-intesivistas y anestesiologos.

Ayudas a restablecer la integridad de la pared abdominal, mejorar la función de esta y la calidad de vida de los pacientes que no pueden costearlo.

¿A quién beneficias?

A las personas sin seguro o coberturas que no incluyen este tipo de cirugías, en especial aquellos con condiciones graves que afectan su salud, la calidad de vida.

¿Cómo donar?

Llena el formulario con tus datos (para emitir recibo y certificado de donación)

Realiza tu aporte a la cuenta:

Banco: Bancolombia

Tipo de cuenta: Ahorros

Número de la cuenta: 07700006619

Titular: Fundación Reina Isabel

Testimonios Mira este video

Ir al formulario

Contacto e información

Fundación Reina Isabel Ips Dirección Carrera 43 # 5a -94 Barrio Tequendama Cali Colombia Línea PBX: 3009108046

Pagina web: https://www.reinaisabelips.com/programa-abdominal Email: contacto@ipsreinaisabel.com

Documentación completa del Programa de pared abdominal

Documentación completa del Programa de pared abdominal

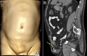
Los defectos de la pared abdominal son aberturas o áreas debilitadas en los músculos y tejidos que rodean la cavidad abdominal, lo que puede permitir que los órganos sobresalgan, formando una hernia. Estos defectos pueden ser congénitos (presentes al nacer) o adquiridos, y pueden variar en tamaño y gravedad.

En el caso de los defectos adquiridos Pueden ser causados por lesiones, cirugías previas o enfermedades que debilitan la pared abdominal.

Un ejemplo común es la diástasis de rectos, donde los músculos rectos abdominales se separan, pero no siempre hay una hernia real.

Los defectos adquiridos grandes de pared abdominal, también conocidos como hernias ventrales adquiridas o eventraciones, son protrusiones de órganos abdominales a través de una abertura o debilitamiento en la pared abdominal, que ocurre después del nacimiento, a diferencia de los defectos congénitos. Estas aberturas pueden ser resultado de cirugías previas, traumatismos, o debilidad muscular asociada a obesidad.

La Fundación Reina Isabel Ips cuenta con un grupo multidiscipliario, conformado por cirujanos expertos en reconstrucción de pared abdominal que son acompañados en la junta de pared con medico internista intensivista, anestesiologos, para la mejor evaluación de los casos.

Esto es importante porque cada vez son más los pacientes con defectos complejos de la pared abominal que hacen necesarios los procedimientos de reconstrucción de la pared abdominal.

La cirugía de reconstrucción de pared abdominal en defectos adquiridos está indicada cuando existen hernias complejas, eventraciones, defectos de cierre de pared abdominal post-quirúrgicos, o cuando hay pérdida de la integridad de la pared abdominal debido a secuelas de traumatismos, tumores o infecciones. También se considera en casos de diástasis abdominal severa, especialmente si hay problemas funcionales.

Te invitamos a ser parte de la solución para estos pacientes

Si quieres apoyar el programa puedes hacerlo diligenciando tus datos personales para recibir la certificación, y realizar la consignación de tu aporte a la cuenta numero 07700006619, Ahorros de Bancolombia a nombre de la Fundación Reina Isabel. Formulario

Decarga el brochure para más información del funcionamiento de este programa